11/05/2013
Dentro del amplio espectro de condiciones que pueden afectar a nuestros huesos, existen ciertos crecimientos que, aunque a menudo generan inquietud por la palabra 'tumor', son en realidad de naturaleza benigna. Dos de estos tipos son los osteomas y los osteoides osteomas. Comprender qué son, dónde suelen aparecer y cuándo pueden causar problemas es fundamental para manejar cualquier preocupación que puedan generar.

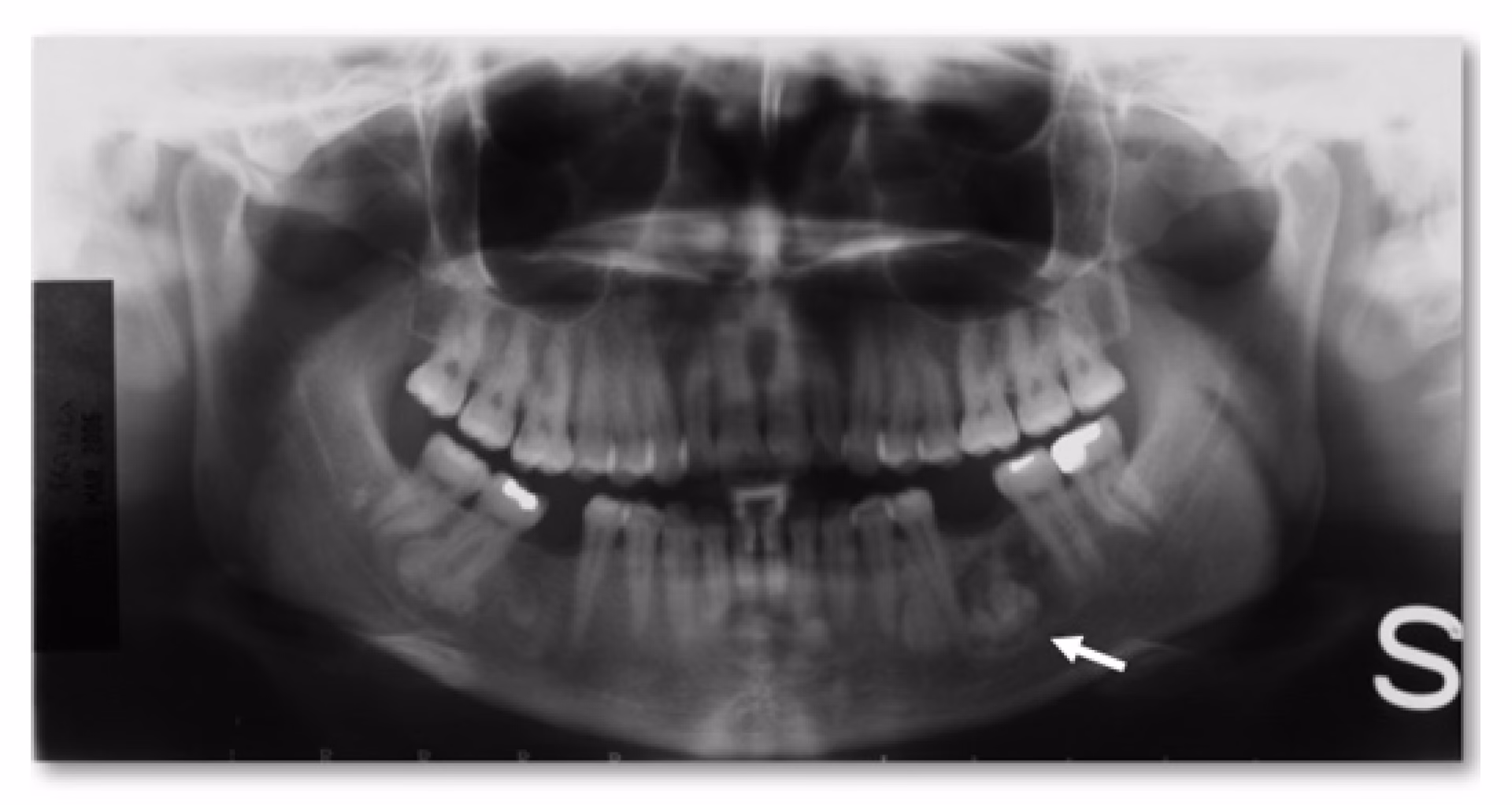
Un osteoma es un tipo de tumor óseo que no es canceroso, es decir, es benigno. Estos crecimientos se forman sobre un trozo de hueso existente y se encuentran con mayor frecuencia en el cráneo. Es posible que notes un bulto duro en la cabeza incluso antes de experimentar cualquier síntoma. Los osteomas están compuestos de tejido óseo y pueden ser esponjosos, densos o una combinación de ambos. Una característica tranquilizadora de los osteomas es que, al ser benignos, no se diseminan a otras áreas del cuerpo.
Estos tumores óseos pueden formarse en cualquier lugar del cráneo y su tamaño puede variar. Son comunes en la mandíbula y los senos nasales, aunque a veces también pueden desarrollarse en el área del cuello. Los osteomas pueden afectar a cualquier persona.
- Síntomas de los Osteomas: ¿Cuándo es Momento de Preocuparse?
- Tratamiento para Osteomas Sintomáticos
- ¿Qué es un Osteoide Osteoma?
- Ubicación Típica del Osteoide Osteoma
- Síntomas del Osteoide Osteoma
- ¿Quién Puede Desarrollar un Osteoide Osteoma?
- Frecuencia del Osteoide Osteoma
- Tratamiento del Osteoide Osteoma
- Osteoma vs. Osteoide Osteoma: Diferencias Clave
- Preguntas Frecuentes sobre Osteomas y Osteoides Osteomas
- En Resumen
Síntomas de los Osteomas: ¿Cuándo es Momento de Preocuparse?
Los síntomas asociados a los osteomas son, en realidad, poco comunes. Es muy frecuente que una persona no se dé cuenta de que tiene un osteoma hasta que este comienza a causar síntomas o si se desarrolla un bulto visible o palpable. La presencia de síntomas, si ocurren, generalmente indica la ubicación y el tamaño del tumor.
Entonces, ¿cuándo deberías preocuparte por un osteoma? La preocupación surge cuando el osteoma, debido a su tamaño o localización, interfiere con estructuras cercanas o causa molestias. Los síntomas que pueden indicar la necesidad de atención médica incluyen:
- Dolores de cabeza persistentes.
- Infecciones sinusales recurrentes.
- Problemas de audición.
- Problemas de visión.
Si estás experimentando alguno de estos síntomas y se sospecha o se ha diagnosticado un osteoma, es recomendable buscar evaluación profesional. La presencia de estos síntomas sugiere que el osteoma está impactando negativamente en tu calidad de vida y podría requerir intervención.
Tratamiento para Osteomas Sintomáticos
Si tienes un osteoma pero no estás experimentando síntomas, es posible que no necesites tratamiento alguno. Sin embargo, si presentas dolores de cabeza, infecciones sinusales o problemas de audición y visión, puede que se recomiende tratamiento para aliviar estas molestias.
Las opciones de tratamiento para los osteomas sintomáticos suelen incluir la cirugía u otras técnicas mínimamente invasivas. La elección del método dependerá de la ubicación exacta del osteoma, su tamaño y la severidad de los síntomas que esté causando.
¿Qué es un Osteoide Osteoma?
Es importante diferenciar los osteomas de otro tipo de tumor óseo benigno conocido como osteoide osteoma. Un osteoide osteoma es también un tumor óseo no canceroso (benigno), pero con características distintas a los osteomas.
Cada tumor de osteoide osteoma mide generalmente menos de 2.5 centímetros de diámetro (menos de 1 pulgada). Al igual que los osteomas, estos tumores no crecen ni se diseminan a otras partes del cuerpo.

Ubicación Típica del Osteoide Osteoma
A diferencia de los osteomas que se localizan principalmente en el cráneo, los osteoides osteomas se desarrollan con mayor frecuencia en los huesos largos del cuerpo. Estos huesos largos incluyen la espinilla (tibia) y el fémur (hueso del muslo). Sin embargo, los osteoides osteomas también pueden formarse en otras áreas como:
- Brazos.
- Manos o dedos.
- Pies o tobillos.
- Columna vertebral.
Síntomas del Osteoide Osteoma
La característica más distintiva de un osteoide osteoma es el tipo de dolor que provoca. Esta condición generalmente causa un dolor sordo y persistente que empeora significativamente durante la noche. Este dolor nocturno es un síntoma clave que a menudo lleva al diagnóstico.
¿Quién Puede Desarrollar un Osteoide Osteoma?
Los osteoides osteomas suelen formarse en personas jóvenes, típicamente entre los 5 y los 25 años de edad. Esta condición afecta a los hombres aproximadamente tres veces más que a las mujeres. No obstante, los osteoides osteomas pueden afectar a cualquier persona, independientemente de su sexo, etnia o raza.
Frecuencia del Osteoide Osteoma
Aunque son tumores óseos, los osteoides osteomas no son extremadamente raros dentro de su categoría. Constituyen aproximadamente el 10% de todos los tumores óseos benignos.
Tratamiento del Osteoide Osteoma
Los proveedores de atención médica tratan los osteoides osteomas principalmente para aliviar el dolor que causan. Los tratamientos comunes incluyen el uso de medicamentos antiinflamatorios no esteroideos (AINEs) o la cirugía.
Osteoma vs. Osteoide Osteoma: Diferencias Clave
Aunque ambos son tumores óseos benignos, los osteomas y los osteoides osteomas tienen características distintivas que los diferencian. Comprender estas diferencias ayuda a entender por qué se presentan de manera distinta y requieren enfoques de manejo diferentes.
| Característica | Osteoma | Osteoide Osteoma |
|---|---|---|
| Naturaleza | Benigno (No canceroso) | Benigno (No canceroso) |
| Ubicación Principal | Craneo (mandíbula, senos nasales, cuello) | Huesos largos (tibia, fémur), columna, brazos, manos, pies |
| Tamaño Típico | Variable, puede formar bultos visibles | Generalmente menos de 2.5 cm |
| Síntomas Comunes | Raros; dolores de cabeza, problemas de visión/audición, infecciones sinusales (si son sintomáticos) | Dolor sordo/persistente, empeora por la noche |
| Diseminación | No se disemina | No se disemina |
| Edad/Sexo Típico | Puede afectar a cualquiera | Más común en 5-25 años, 3x más en hombres |
| Tratamiento (si es necesario) | Cirugía, técnicas mínimamente invasivas (si es sintomático) | AINEs, cirugía (para aliviar el dolor) |
Cabe mencionar que existen otros tipos de tumores óseos benignos, como los osteoblastomas. El texto proporcionado indica que los osteoblastomas se diferencian de los osteoides osteomas, aunque no detalla esas diferencias específicas.
Preguntas Frecuentes sobre Osteomas y Osteoides Osteomas
Es natural tener preguntas al aprender sobre estos tipos de tumores óseos. Aquí respondemos algunas de las más comunes basadas en la información disponible:
- ¿Son cancerosos los osteomas o osteoides osteomas?
No, ambos son tumores benignos, lo que significa que no son cancerosos y no se diseminan a otras partes del cuerpo. - ¿Dónde suelen aparecer los osteomas?
Los osteomas se encuentran más comúnmente en el cráneo, incluyendo la mandíbula y los senos nasales, y a veces en el cuello. - ¿Dónde suelen aparecer los osteoides osteomas?
Los osteoides osteomas se localizan con mayor frecuencia en los huesos largos del cuerpo, como la tibia y el fémur, pero también pueden encontrarse en la columna vertebral, brazos, manos, pies y tobillos. - ¿Los osteomas siempre causan síntomas?
No, los osteomas a menudo son asintomáticos y pueden descubrirse incidentalmente o como un bulto duro. - ¿Cuándo debo preocuparme por un osteoma?
Debes preocuparte si un osteoma comienza a causar síntomas, como dolores de cabeza persistentes, problemas de visión o audición, o infecciones sinusales recurrentes. Estos síntomas sugieren que el tumor está afectando estructuras cercanas y podría requerir tratamiento. - ¿Cuál es el síntoma principal de un osteoide osteoma?
El síntoma característico de un osteoide osteoma es un dolor sordo y persistente que típicamente empeora durante la noche. - ¿Cómo se tratan los osteomas sintomáticos?
Cuando un osteoma causa síntomas, el tratamiento puede implicar cirugía o técnicas mínimamente invasivas para removerlo o reducir su impacto. - ¿Cómo se tratan los osteoides osteomas?
Los osteoides osteomas a menudo se tratan con medicamentos antiinflamatorios no esteroideos (AINEs) para controlar el dolor, o con cirugía si el dolor no se alivia con medicación. - ¿Los osteomas o osteoides osteomas crecen mucho o se diseminan?
No, al ser benignos, estos tumores no crecen indefinidamente ni se diseminan a otras partes del cuerpo.
En Resumen
Los osteomas y los osteoides osteomas son tumores óseos benignos con ubicaciones, síntomas y tratamientos distintivos. Mientras que los osteomas suelen ser asintomáticos en el cráneo y solo requieren atención si causan problemas como dolores de cabeza o afectación sensorial, los osteoides osteomas son conocidos por causar un característico dolor nocturno en huesos largos y la columna, manejado a menudo con medicación o cirugía. Conocer la naturaleza benigna de estas condiciones puede aliviar gran parte de la preocupación inicial que surge con el diagnóstico de un 'tumor óseo'. Si experimentas síntomas relacionados con cualquiera de estas condiciones, la consulta con un profesional de la salud es el paso más importante para obtener un diagnóstico preciso y un plan de manejo adecuado.
Si quieres conocer otros artículos parecidos a Osteomas: ¿Cuándo Deberías Preocuparte? puedes visitar la categoría Salud.

Conoce mas Tipos