27/04/2017
La salud ósea es fundamental para nuestro bienestar general, y en su mantenimiento, ciertos medicamentos juegan un papel crucial. Entre ellos se encuentran los bifosfonatos, fármacos potentes utilizados para tratar diversas afecciones relacionadas con la densidad ósea y el metabolismo del calcio, como la osteoporosis o las metástasis óseas. Sin embargo, el uso de estos compuestos, especialmente en tratamientos prolongados o por vía intravenosa, se ha asociado a una complicación poco común pero grave: la osteonecrosis de los maxilares relacionada con bifosfonatos, conocida como OMRB. Esta condición representa un desafío significativo tanto para pacientes como para profesionales de la salud, y su manejo efectivo depende en gran medida de la comprensión, la prevención y un enfoque terapéutico cuidadoso.

Los bifosfonatos son una familia de fármacos caracterizados por una estructura química robusta que les permite unirse fuertemente al hueso. Su mecanismo principal de acción es la inhibición de la actividad de los osteoclastos, las células responsables de la reabsorción ósea. Al frenar este proceso, los bifosfonatos contribuyen a aumentar o mantener la densidad mineral ósea. Existen diferentes tipos de bifosfonatos, con variaciones en su potencia y vía de administración, como el alendronato, pamidronato, zoledronato, entre otros. Se utilizan en una amplia gama de indicaciones, desde enfermedades benignas como la osteoporosis hasta condiciones oncológicas como el mieloma múltiple o las metástasis óseas.
El interés en la OMRB surgió a principios de la década de 2000, al observarse un número creciente de pacientes tratados con bifosfonatos que desarrollaban áreas de hueso necrótico expuesto en la boca. La dificultad en el manejo de esta entidad ha impulsado la investigación y la búsqueda de pautas para su diagnóstico, prevención y tratamiento. Actualmente, se distinguen dos escenarios principales de OMRB: el asociado a la administración intravenosa de bifosfonatos en pacientes oncológicos (donde las estrategias están más consolidadas) y el relacionado con la administración oral o intravenosa para indicaciones no oncológicas (que requiere más investigación).
- ¿Qué es la Osteonecrosis de los Maxilares Relacionada con Bifosfonatos (OMRB)?
- ¿Cómo de Común es la OMRB y Quién Está en Riesgo?
- ¿Por Qué Ocurre la OMRB? Fisiopatología
- Manifestaciones Clínicas de la OMRB
- Diagnóstico de la OMRB
- Prevención y Tratamiento de la Osteonecrosis Maxilar
- Preguntas Frecuentes sobre la Osteonecrosis Maxilar y Bifosfonatos
- ¿Qué es exactamente la Osteonecrosis Maxilar relacionada con Bifosfonatos (OMRB)?
- ¿Quién tiene riesgo de desarrollar OMRB?
- ¿Se puede curar la OMRB?
- ¿Qué tipo de tratamientos dentales debo evitar si tomo bifosfonatos?
- ¿Qué es un secuestro óseo dental?
- Si tengo OMRB, ¿debo dejar de tomar mis bifosfonatos?
¿Qué es la Osteonecrosis de los Maxilares Relacionada con Bifosfonatos (OMRB)?
Para poder identificar y diferenciar la OMRB de otras afecciones que pueden causar exposición ósea en la región oral, se han establecido criterios diagnósticos claros. Según la American Association of Oral and Maxilofacial Surgeons (AAOMS), un paciente debe cumplir tres características para ser diagnosticado con OMRB:
- Estar bajo tratamiento actual o haber recibido tratamiento previo con bifosfonatos.
- Presentar hueso necrótico expuesto en la región maxilofacial que persiste por más de 8 semanas.
- No tener antecedentes de radioterapia en la región maxilofacial.
Es crucial realizar un diagnóstico diferencial para descartar otras condiciones que puedan manifestarse de forma similar, como osteítis alveolar, sinusitis, gingivitis, periodontitis, caries extensas, enfermedades periapicales o alteraciones de la articulación temporomandibular.
¿Cómo de Común es la OMRB y Quién Está en Riesgo?
La incidencia de la OMRB varía significativamente según la vía de administración y la indicación del bifosfonato. En pacientes oncológicos que reciben bifosfonatos por vía intravenosa, la incidencia oscila entre el 0,8% y el 12%. En contraste, en pacientes que reciben bifosfonatos orales para indicaciones no oncológicas (como la osteoporosis), la incidencia es mucho menor, entre el 0,01% y el 0,04%.
Aunque puede ocurrir en diversos tipos de cáncer, el mieloma múltiple y el cáncer de mama son los más frecuentemente asociados. La edad media de los pacientes afectados es de alrededor de 65,5 años, con un pico entre la séptima y octava década de vida. No hay una diferencia marcada entre sexos, con una relación hombre/mujer cercana a 2:2,6 o 2:3.
La mandíbula es el hueso más afectado. Existen varios factores de riesgo identificados que pueden aumentar la probabilidad de desarrollar OMRB. Estos se dividen en:
- Relacionados con el fármaco: Potencia del bifosfonato, vía de administración (IV mayor riesgo), dosis acumulada y duración del tratamiento.
- Factores de riesgo locales: Cirugía dentoalveolar previa (especialmente exodoncias), colocación de implantes, cirugía periapical, cirugía periodontal que dañe el hueso, y la anatomía local (mandíbula, torus lingual/palatino, línea milohioidea). La existencia de enfermedad oral concomitante (infecciones, caries, periodontitis) también aumenta el riesgo.
- Factores demográficos y sistémicos: Edad avanzada, raza caucásica, diagnóstico de cáncer o de osteopenia/osteoporosis.
- Otros posibles factores: Corticoterapia, diabetes, tabaquismo, alcoholismo, quimioterapia, higiene oral deficiente, ciertas condiciones médicas (anemia, malnutrición, dislipidemia, obesidad, enfermedades del tejido conjuntivo, coagulopatías, inmunodeficiencias, hipotiroidismo, enfermedad de Gaucher, lupus eritematoso sistémico, terapia con estrógenos, artrosis).
- Factores genéticos: Se ha sugerido la posible implicación de genes como el del citocromo P450-2C.
- Factores preventivos: Intervenciones dentales preventivas y, en algunos casos, la modificación de la dosis de bifosfonato IV.
¿Por Qué Ocurre la OMRB? Fisiopatología
A pesar de la investigación, el mecanismo exacto detrás de la OMRB aún no se comprende completamente. Se cree que está relacionado con una combinación de factores que llevan a una falta de aporte vascular, una alteración en el remodelado óseo y una capacidad disminuida para la regeneración del hueso. El problema central parece ser la incapacidad de los osteoclastos (cuya función es inhibida por los bifosfonatos) para eliminar o reparar áreas de hueso dañado o envejecido. Esto reduce la capacidad del tejido óseo para adaptarse y sanar, especialmente después de un trauma o una infección en la región oral, lo que puede conducir a la necrosis y exposición del hueso.
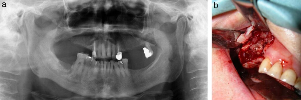
Manifestaciones Clínicas de la OMRB
La característica distintiva de la OMRB es la presencia de hueso necrótico expuesto en la cavidad oral, que suele tener un color blanco amarillento. Inicialmente, esta exposición puede ser asintomática y detectarse durante un examen dental rutinario. Sin embargo, a menudo se vuelve dolorosa y problemática cuando se produce una infección secundaria o un traumatismo en los tejidos blandos circundantes. Los síntomas pueden incluir:
- Dolor
- Inflamación de las encías y tejidos blandos adyacentes
- Formación de fístulas (trayectos anormales que drenan pus)
- Pérdida de piezas dentarias
- Disestesias (sensaciones anormales)
- Abscesos dentales
La OMRB puede aparecer de forma espontánea, pero con mayor frecuencia se desarrolla en el sitio de una extracción dental previa o de otra cirugía oral que haya afectado el hueso.
Diagnóstico de la OMRB
El diagnóstico de la OMRB se basa fundamentalmente en el cumplimiento de los criterios clínicos establecidos por la AAOMS, que ya hemos mencionado (tratamiento con BF, hueso expuesto > 8 semanas, no radioterapia previa). Además de la evaluación clínica, se pueden emplear pruebas complementarias:
- Ortopantomografía: Útil en estadios avanzados, donde puede mostrar áreas radiolúcidas (destrucción ósea) y radioopacas (secuestros óseos). En estadios iniciales, puede no mostrar hallazgos significativos.
- Tomografía Computarizada (TC) y Resonancia Magnética (RM): Estas técnicas de imagen avanzada son más sensibles para el diagnóstico precoz y permiten determinar la extensión real de la necrosis ósea.
- Cultivos microbiológicos y antibiograma: Recomendados para identificar las bacterias causantes de una posible infección secundaria y determinar el antibiótico más efectivo.
- Biopsia ósea: Generalmente reservada para casos donde existe sospecha de que la lesión expuesta pueda ser una metástasis o recurrencia de la enfermedad oncológica original, en lugar de OMRB.
- Determinación sérica del telopéptido c-terminal del colágeno tipo I (CTX): Aunque no predice el desarrollo de OMRB a nivel individual, puede ayudar a identificar pacientes con mayor riesgo. Niveles de CTX por debajo de 100 pg/ml sugieren un riesgo alto, entre 100 y 150 pg/ml un riesgo moderado, y por encima de 150 pg/ml un riesgo bajo. Sin embargo, la utilidad del CTX y las 'vacaciones terapéuticas' de bifosfonatos orales requieren más evidencia científica.
Prevención y Tratamiento de la Osteonecrosis Maxilar
Actualmente, no existe un tratamiento curativo definitivo y universalmente eficaz para la OMRB una vez que está establecida. El manejo es a menudo prolongado, puede requerir procedimientos invasivos y el pronóstico es incierto. Por ello, el enfoque principal debe estar en la prevención, identificando a los pacientes con alto riesgo y adoptando medidas para minimizarlo.
Prevención de la OMRB
Las estrategias preventivas varían según si el paciente recibe bifosfonatos por vía intravenosa o oral, y según el momento del tratamiento.
Pacientes tratados con Bifosfonatos Intravenosos (IV)
Estos pacientes, especialmente los oncológicos, tienen un riesgo más elevado.
- Antes y durante los primeros 3 meses de tratamiento IV: Se recomienda retrasar el inicio de los bifosfonatos IV hasta que la salud dental sea óptima. Esto implica realizar todos los tratamientos odontológicos necesarios (no invasivos y, si es indispensable, quirúrgicos) antes de iniciar la terapia. Deben tratarse focos infecciosos (dentales o periodontales) y extraerse piezas dentales con pronóstico incierto. Se sugiere esperar 14-21 días después de una extracción antes de empezar con los bifosfonatos IV para permitir la cicatrización. La colocación de implantes antes de iniciar el tratamiento IV es controvertida y no se recomienda si se espera que la osteointegración no haya finalizado al momento del inicio del BF. Es fundamental informar al paciente sobre el riesgo de OMRB, especialmente asociado a la cirugía oral, y la importancia de mantener una excelente higiene bucal.
- Durante la administración del tratamiento IV (después de los 3 primeros meses): El objetivo es evitar procedimientos que dañen el hueso. Se recomiendan revisiones odontológicas periódicas (cada 3-6 meses). La higiene oral rigurosa es esencial para prevenir infecciones que requieran cirugía. Ante un foco infeccioso, el tratamiento de conductos (endodoncia) con mínima manipulación periapical es la primera opción, siempre con cobertura antibiótica. Si una pieza dental no es viable, se prefiere extraer la corona y tratar las raíces con endodoncia. La colocación de implantes dentales está contraindicada en pacientes oncológicos que reciben bifosfonatos IV potentes (zoledronato, pamidronato) o con alta frecuencia.
- Después del tratamiento IV: El riesgo de OMRB persiste durante mucho tiempo debido a la larga vida media de los bifosfonatos en el hueso. Se recomienda evitar la cirugía oral, si es posible, por un periodo no inferior a 10 años tras la última dosis, aunque este punto es aún tema de debate científico. El control riguroso de la salud oral debe mantenerse a largo plazo.
Pacientes tratados con Bifosfonatos Orales
El riesgo de OMRB es menor con la administración oral, pero existe, especialmente en presencia de otros factores de riesgo.
- Antes de la administración oral: Se debe informar al paciente sobre la importancia de su salud oral y se recomienda una evaluación dental completa. Se dispone de tiempo (hasta 3 años, según algunas fuentes) para realizar los tratamientos dentales necesarios antes de iniciar el BF oral.
- Pacientes asintomáticos con menos de 3 años de tratamiento oral y sin factores de riesgo adicionales: Generalmente, se pueden realizar tratamientos quirúrgicos y rehabilitadores. Sin embargo, es imprescindible obtener un consentimiento informado específico sobre el riesgo de OMRB y realizar controles periódicos (al menos anuales) de la salud oral.
- Pacientes asintomáticos con menos de 3 años de tratamiento oral y con factores de riesgo (ej. glucocorticoides, edad > 70 años), o con más de 3 años de tratamiento oral (con o sin factores de riesgo): Se recomienda la suspensión del bifosfonato oral durante al menos 3 meses antes de cualquier cirugía oral electiva. El tratamiento no debe reiniciarse hasta que la herida quirúrgica haya cicatrizado completamente. Además, se requiere consentimiento informado y control periódico anual.
Tratamiento de la OMRB Establecida
El tratamiento de la OMRB una vez que se ha desarrollado es complejo y busca principalmente controlar la infección, minimizar el dolor y reducir la progresión de la necrosis. Las pautas generales incluyen:
- Higiene oral rigurosa: Uso de colutorios con clorhexidina al 0,12% para mantener la zona limpia y reducir la carga bacteriana.
- Tratamiento antibiótico: Crucial para controlar la infección secundaria, que es muy común y dolorosa. El tratamiento puede ser continuo o intermitente, según la severidad y los síntomas. La elección del antibiótico se basa en la sospecha clínica y, si es posible, en un antibiograma.
A continuación, se presenta una tabla con antibióticos comúnmente utilizados, según la información proporcionada:
| Situación | Antibióticos Recomendados (Vía Oral) |
|---|---|
| De primera elección | Amoxicilina 500 mg/6 h Penicilina V-K 500 mg/6 h Amoxicilina/ácido clavulánico 2.000/125 mg/12 h |
| Alérgicos a la penicilina | Ciprofloxacino 500 mg/12 h Levofloxacino 500 mg/24 h Eritromicina 400 mg/8 h Azitromicina 250 mg/24 h Clindamicina 300 mg/8 h Doxiciclina 100 mg/24 h |
| Infección resistente o muy sintomática (añadir a tratamiento previo) | Metronidazol 500 mg/8 h |
| Infección severa (celulitis): paciente ingresado (Vía IV) | Amoxicilina-clavulánico 1.000/200 mg cada 6 h + Metronidazol 500 mg/8 h (En caso de alergia a penicilina: Ciprofloxacino 500 mg/12 h + Metronidazol 500 mg/8 h o Eritromicina 400 mg/8 h + Metronidazol 500 mg/8 h) |
- Evitar cirugía extensa: En la medida de lo posible, se deben evitar los procedimientos quirúrgicos dentoalveolares electivos en áreas afectadas por OMRB, ya que pueden empeorar la condición o crear nuevas áreas de hueso necrótico. El desbridamiento amplio del hueso necrótico rara vez lleva a la curación completa y a menudo se limita a eliminar fragmentos óseos sueltos (secuestros).
- Otras modalidades terapéuticas: Se han explorado diversas opciones, aunque con evidencia variable: oxígeno hiperbárico, plasma rico en plaquetas con factores de crecimiento, proteína morfogenética ósea, hormona paratiroidea y laserterapia de bajo nivel. Estas modalidades se usan en casos seleccionados y su eficacia definitiva aún está bajo investigación.
La suspensión del tratamiento con bifosfonatos, una decisión que debe tomarse de forma consensuada entre el oncólogo (si aplica), el cirujano oral y maxilofacial, el médico prescriptor del BF y el paciente, tiene diferentes implicaciones según la vía de administración:
- Bifosfonatos IV: La suspensión a corto plazo no ha demostrado mejorar la evolución de la OMRB ya establecida. Sin embargo, si la condición sistémica del paciente lo permite, una interrupción a largo plazo podría ser beneficiosa para estabilizar las lesiones existentes, reducir el riesgo de nuevas apariciones y aliviar los síntomas clínicos.
- Bifosfonatos Orales: La suspensión del BF oral en pacientes con OMRB establecida parece asociarse con una mejoría clínica gradual. Si las condiciones sistémicas del paciente lo permiten, se recomienda consensuar esta suspensión.
En resumen, el manejo de la OMRB es un desafío complejo que requiere un enfoque multidisciplinar y centrado en la prevención. La identificación temprana de pacientes en riesgo, la optimización de la salud oral antes de iniciar el tratamiento con bifosfonatos, y un seguimiento dental riguroso durante y después de la terapia son pilares fundamentales para reducir la incidencia de esta grave complicación. Cuando la OMRB se desarrolla, el tratamiento se orienta al control de la infección, el manejo del dolor y la minimización de la progresión, buscando siempre la mejor calidad de vida posible para el paciente.
Preguntas Frecuentes sobre la Osteonecrosis Maxilar y Bifosfonatos
¿Qué es exactamente la Osteonecrosis Maxilar relacionada con Bifosfonatos (OMRB)?
Es una condición en la que áreas de hueso en la mandíbula o el maxilar mueren (necrotizan) y quedan expuestas en la boca. Está asociada al uso de ciertos medicamentos llamados bifosfonatos, que afectan el metabolismo del hueso, y ocurre en pacientes que no han recibido radioterapia en la cabeza o cuello.
¿Quién tiene riesgo de desarrollar OMRB?
El riesgo es mayor en pacientes que reciben bifosfonatos por vía intravenosa, especialmente para tratar cáncer (mieloma múltiple, cáncer de mama con metástasis óseas). También tienen riesgo, aunque menor, quienes toman bifosfonatos orales, especialmente si el tratamiento es prolongado (>3 años) o si existen otros factores como edad avanzada, uso de corticoides, tabaquismo, diabetes o mala salud oral.
¿Se puede curar la OMRB?
Actualmente, no hay un tratamiento único y definitivo que cure la OMRB por completo en todos los casos. El manejo se centra en controlar los síntomas, prevenir la infección y detener la progresión de la enfermedad. En algunos casos, las lesiones pueden estabilizarse o mejorar, especialmente si se suspende el bifosfonato oral.
¿Qué tipo de tratamientos dentales debo evitar si tomo bifosfonatos?
Se deben evitar, en la medida de lo posible, los procedimientos dentales que involucren cirugía ósea, como extracciones dentales electivas, colocación de implantes o cirugía periodontal extensa. Es crucial consultar con su dentista y médico antes de cualquier procedimiento para evaluar el riesgo y planificar el manejo adecuado, que puede incluir tratamientos preventivos intensivos o, en algunos casos, la suspensión temporal del bifosfonato oral.
¿Qué es un secuestro óseo dental?
Un secuestro óseo dental es un pequeño fragmento de hueso necrótico que se forma en la superficie oclusal (de masticación) de un molar en erupción, generalmente en niños. A diferencia de la OMRB, suele ser un fenómeno focal de la erupción, de baja frecuencia y que a menudo se desprende espontáneamente a medida que el diente termina de erupcionar. Rara vez requiere tratamiento quirúrgico, a menos que cause síntomas o retenga placa bacteriana.
Si tengo OMRB, ¿debo dejar de tomar mis bifosfonatos?
La decisión de suspender los bifosfonatos debe tomarse de forma conjunta con sus médicos (oncólogo, médico prescriptor, cirujano oral). Para los bifosfonatos IV, la suspensión a corto plazo no parece ayudar, pero a largo plazo podría ser beneficiosa. Para los bifosfonatos orales, la suspensión sí parece asociarse con una mejoría gradual de la OMRB establecida. Los riesgos y beneficios de continuar o suspender el tratamiento deben ser cuidadosamente evaluados en función de su condición médica general.
Si quieres conocer otros artículos parecidos a Osteonecrosis Maxilar: Prevención y Manejo puedes visitar la categoría Salud.

Conoce mas Tipos